Saltar al contenido
Avda. de Canaletes 3. 08290 Cerdanyola del Vallès.
Tratamientos
Implantes Dentales
Ortodoncia
Ortodoncia con Brackets
Ortodoncia Invisible
Ortodoncia Infantil
Estética Dental
Carillas Dentales
Diseño de Sonrisas
Blanqueamiento Dental
Endodoncia
Odontopediatría
Periodoncia
Prótesis Dentales
Odontología General
Patología ATM
Sedación Consciente
Equipo
Experiencias
Casos Clínicos
Testimonios
X
La Clínica
Nuestra Filosofía
Por qué elegirnos
La Primera Visita
Instalaciones
Blog
Contacto
X
VISITA GRATUITA
Tratamientos
Implantes Dentales
Ortodoncia
Ortodoncia Invisible
Ortodoncia con Brackets
Ortodoncia Infantil
Estética Dental
Carillas Dentales
Blanqueamiento Dental
Diseño de Sonrisas
Endodoncia
Odontopediatría
Periodoncia
Prótesis Dentales
Odontología General
Patología ATM
Sedación Consciente
Equipo
Experiencias
Casos
Testimonios
La Clínica
Clínica y Filosofía
Por qué elegirnos
Primera Visita
Instalaciones
Blog
Contacto
VISITA GRATUITA
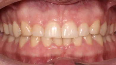
Blanqueamiento – Caso 7
¿QUIÉRES SABER MÁS DE NUESTRO SERVICIO
DE
Blanqueamiento Dental
?
VER MÁS
Primera Visita
Completamente Gratuita
«Desde el primer momento, queremos que te sientas a gusto»
AGENDA CITA
GRATUITA